用时间和生命赛跑 河南理工大一附院为98岁高龄脑卒中患者成功取栓
豫体网6月24日电(记者 高新科 通讯员 李磊)抢救大脑,突破高龄禁区,近日,河南理工大学第一附属医院神经内科二病区成功为98岁高龄患者溶栓、取栓成功,与死神赛跑,再创生命奇迹!
不久前,一位98岁高龄的老爷子入住河南理工大学第一附属医院神经内科二区,入院时以“发现意识不清约6小时”为代主诉入院。经过医生检查,发现老人家神志呈浅昏迷,查体过程中不能配合,左侧肢体不自主活动,右侧肢体肌力0级,右侧病理征阳性,NIHSS评分(脑卒中评分)30分。当地MR(磁共振)提示左侧大脑中动脉闭塞,在当地医院溶栓后转入该院。NIHSS用于急性脑卒中治疗研究评估神经功能缺失情况,是目前世界上较通用、简明易行的脑卒中评价量表,较客观,操作性强。可以评估卒中严重程度,治疗后可以定期评估治疗效果。基线评估>16分的患者很有可能死亡,而<6分的很有可能恢复良好;每增加1分,预后良好的可能性降低17%;评分分级:分数越高,神经受损越严重,分级如下:• 0-1分:正常或近乎正常;• 1-4分:轻度卒中/小卒中;• 5-15分:中度卒中;• 15-20分:中-重度卒中;• 21-42分:重度卒中。

接到急诊患者通知后,河南理工大学第一附属医院卒中中心的医护人员,深知时间就是大脑,时间就是生命,立即启动脑卒中绿色通道,该院接诊护士和值班医生王胜立即带着物品及药品前往磁共振室,抽急查血,有序完成影像学检查,立即通知神经内科二区主任李波准备行介入治疗,经过精准的评估,耐心与家属沟通手术的利与弊,在家属的充分理解与信任下,行主动脉弓造影+锁骨下动脉造影+全脑血管造影术+左侧大脑中动脉支架取栓。

得益于精准的手术加上精细的护理,患者于4月27日神志转为清醒,在张丽红医生的康复指导下,患者逐渐下床活动,并且兴高采烈的在护士站前打起太极拳,于5月14日完全康复办理出院。
老爷子能有如此好的效果,得益于非常短的时间将堵塞的血管开通,挽救了大量濒临死亡的脑细胞,为以后的神经功能的恢复打下了基础。
不久前,一位98岁高龄的老爷子入住河南理工大学第一附属医院神经内科二区,入院时以“发现意识不清约6小时”为代主诉入院。经过医生检查,发现老人家神志呈浅昏迷,查体过程中不能配合,左侧肢体不自主活动,右侧肢体肌力0级,右侧病理征阳性,NIHSS评分(脑卒中评分)30分。当地MR(磁共振)提示左侧大脑中动脉闭塞,在当地医院溶栓后转入该院。NIHSS用于急性脑卒中治疗研究评估神经功能缺失情况,是目前世界上较通用、简明易行的脑卒中评价量表,较客观,操作性强。可以评估卒中严重程度,治疗后可以定期评估治疗效果。基线评估>16分的患者很有可能死亡,而<6分的很有可能恢复良好;每增加1分,预后良好的可能性降低17%;评分分级:分数越高,神经受损越严重,分级如下:• 0-1分:正常或近乎正常;• 1-4分:轻度卒中/小卒中;• 5-15分:中度卒中;• 15-20分:中-重度卒中;• 21-42分:重度卒中。

(采用solumber 技术取栓两次,血管再通)

(成功取出的血栓)

(24小时复查CT无出血)

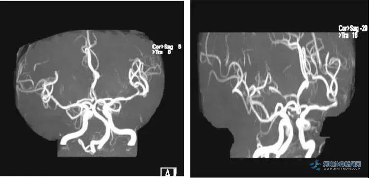
(3D复查MR)

(成功取出的血栓)

(24小时复查CT无出血)

(3D复查MR)
接到急诊患者通知后,河南理工大学第一附属医院卒中中心的医护人员,深知时间就是大脑,时间就是生命,立即启动脑卒中绿色通道,该院接诊护士和值班医生王胜立即带着物品及药品前往磁共振室,抽急查血,有序完成影像学检查,立即通知神经内科二区主任李波准备行介入治疗,经过精准的评估,耐心与家属沟通手术的利与弊,在家属的充分理解与信任下,行主动脉弓造影+锁骨下动脉造影+全脑血管造影术+左侧大脑中动脉支架取栓。

(老人康复在护士站前打起太极拳)
得益于精准的手术加上精细的护理,患者于4月27日神志转为清醒,在张丽红医生的康复指导下,患者逐渐下床活动,并且兴高采烈的在护士站前打起太极拳,于5月14日完全康复办理出院。
老爷子能有如此好的效果,得益于非常短的时间将堵塞的血管开通,挽救了大量濒临死亡的脑细胞,为以后的神经功能的恢复打下了基础。